其他常见皮肤病: 斑秃|毛囊炎|皮肤过敏|皮肤瘙痒|体癣|带状疱疹|疥疮|青春痘

当前位置: > 荨麻疹 > 治疗 > > > >

荨麻疹治疗不及时 小心关节病、心脑病惹上身

文章来源:汕头龙湖肤康皮肤科门诊部预约热线:0754-8885 9091     

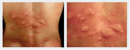
    患者身上出现荨麻疹的症状多是由过敏原引起的,经常会冒出一些块块形状、大小不一的红色斑块,荨麻疹引起的瘙痒症状严重影响人的生活质量,同时慢性荨麻疹也会引起恶心、呕吐等消化道症状,如果发病在喉头处,甚至可能引起患者呼吸困难导致窒息死亡。

    【警惕】小小荨麻疹  惹出人命不值得

    一、影响生活质量。慢性荨麻疹若发病未及时治疗,可迁延长达数月甚至若干年,晨起或临睡前瘙痒加重,影响人的正常生活和心理状态。因此慢性荨麻疹必须彻底治疗,而不是像某些医生说的那样不需要治疗,任其发展,后导致严重的后果!

    二、诱发其他疾病。慢性荨麻疹发病如伴有消化道症状,会引起恶心、呕吐、腹泻和腹痛胃肠道功能紊乱;伴发溃疡性结肠炎,克罗恩病。慢性荨麻疹致病的主要原因是免疫功能紊乱,因此可以诱发肾炎,自身免疫性甲亢,系统性红斑狼疮,甚至免疫监视功能低下导致恶性肿瘤等!生育期妇女还可以导致免疫性不育及流产!

    三、危及生命。慢性荨麻疹如发病在呼吸道的喉头和支气管处,会导致反复发作的喉头水肿,出现咽喉堵塞感,气促、胸闷、呼吸困难,严重时导致患者窒息死亡;病情严重者,伴有心慌、烦躁、恶心、呕吐,甚至血压降低等过敏性休克症状,危及生命安全。

 

汕头龙湖肤康皮肤科门诊部是汕头市市一家以岭南流派中西医结合的皮肤病专科医院…[详细]

便民服务

汕头龙湖肤康医师

  • 擅长:常秀格 皮肤科医师 医疗团队突出

  • 擅长:张秀萍 皮肤科医师 医疗团队突出

  • 擅长:刑留才 皮肤科主任 皮肤科带头人

  • 擅长:皮肤科主任 医疗团队突出成员 个

  • 擅长:【职称】 中国医师协会会员 肤康

  • 擅长:【职称】 中华医学会皮肤性病学