其他常见皮肤病: 斑秃|毛囊炎|皮肤过敏|皮肤瘙痒|体癣|带状疱疹|疥疮|青春痘

当前位置: > 皮肤过敏 > > > >

【医学前沿】中医渗透抗癣疗法标本兼治皮肤过敏

文章来源:汕头龙湖肤康皮肤科门诊部预约热线:0754-8885 9091     

皮肤过敏可导致过敏性皮肤病,如皮炎、湿疹、荨麻疹等,可出现发痒、打喷嚏、流鼻水、泪眼、皮疹、气道阻塞、红肿干屑、水泡渗出等症状,其发生的原因多种多样,过敏原也不尽相当。在极罕见的情况下,皮肤过敏反应甚至可能会危及生命。传统治疗皮肤过敏一般只能缓解症状,极易复发,让患者不胜其扰。汕头龙湖肤康皮肤科门诊部针对皮肤过敏采用“中医渗透抗癣疗法”,有效解决了众多皮肤过敏患者的困扰。  

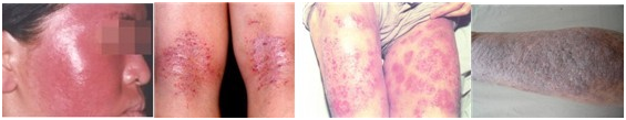
皮肤过敏的症状

》》》结合自己的症状与在线专家进行沟通交流获得详细的治疗建议《《《

细分过敏性皮肤病的四大种类

1、日光性皮炎:日光性皮炎是由于一些人对紫外线过敏所致,通常在日晒后1-2小时后发病,皮疹多发面部,颈部和颈前“v”形区,手背及上肢,表现为小丘疹,小水疱,自觉瘙痒,严重时非光照部分也可起皮疹,不疼痛,瘙痒明显,消失很慢。如不及时治疗,可形成慢性光敏性皮肤病。因此在太阳光强时要减少外出,外出时也要作好防晒措施。

2、虫咬性皮炎:与蚊虫叮咬有关,如臭虫、跳蚤、虱子、螨、蚊等昆虫叮咬皮肤后注入唾液,诱发的过敏性反应。预防此病应减少到草丛,树阴下或潮湿,蚊虫多的地方,室内可熏蚊香。好不要用红花油涂抹,因为这样会导致过敏,反而加重病情。

3、湿疹:如果长期穿不透气的鞋子,闷热潮湿时,脚就会脱皮、痒、长水疱,很多人误以为是脚气,其实是湿疹。防止湿疹,局部要保持干燥,用抗过敏药膏涂抹患处,一天2-3次,要穿透气的鞋子。因为湿疹的症状和脚癣的相同,所以,治疗前要做个真菌试验,判断到底是否属于真菌感染。

4、荨麻疹:一些是食物诱发过敏的因素。荨麻疹就是患者吃了鱼、虾、蟹、蛋、牛肉、草莓、可可、番茄、大蒜等过敏食物发病。

》》》结合自己的症状与在线专家进行沟通交流获得详细的治疗建议《《《

传统治疗皮肤过敏方法的弊端

1、西医药物治疗:传统西医治疗大多采用脱敏治疗法,对某些较严重的过敏体质者,医生会给服用抗组胺类药,或黄胺类药或激素类药,但大量的黄胺类、激素类的药物运用只是起到缓解症状的作用,而且副作用极大,特别对婴幼儿、儿童、青少年的发育有极大的影响。过敏病人都是在一次次的常年累月的反复发作中缓解症状,身体的免疫能力日趋低下,极为痛苦。

2、西医外用药剂:传统西医的外用药剂为皮质激素类药物,如溶液洗剂、乳剂、泥膏、油剂、软膏、乳剂、涂膜剂、酊剂及硬膏,长时间或大剂量外用,会成瘾导致药物依赖性,常见的是用药后病情好转,一旦停药后,用药部位原发病变加重;如再停药,反跳性再发,还会引起机体糖、蛋白质、脂肪及水电解质等一系列物质代谢紊乱,破坏机体的防卫系统和抑制免疫反应能力,后果比以前更严重。

3、传统仪器治疗:一般西医所采用的物理治疗,多违背肌肤新陈代谢的自然规律,强制性祛除皮肤过敏,造成皮肤角质层的伤害,甚至是角质层萎缩的可能,易色素沉着,易复发。

【权威疗法】中医渗透抗癣疗法,标本兼治皮肤过敏

汕头龙湖肤康皮肤科门诊部自主研发的“中医渗透抗癣疗法”发挥中医标本兼治以及西医快速诊治的优势,采用内服特制中药、中药石膏倒膜加雾化治疗、纳米微波加雾化治疗,多效并举,抗炎修复,光洁皮肤,安全无害,分型综合治疗各种原因导致的皮肤过敏,其对皮肤过敏的诊治特点有以下几个方面:

1、内服特制中药:采用抗敏固表、清热解毒、祛风除湿、疏肝理气、活血化瘀功效的中药,针对各种皮肤过敏发生与分泌、皮脂分泌增加、毛囊导管角化过度、丙酸杆菌感染、环境因素、遗传因素及皮脂膜破坏,可同时达到排毒,杀菌,抑菌、修复受损细胞、恢复皮肤生态平衡。

2、中药石膏倒膜加雾化治疗:中药石膏面膜具有温经活血,促进皮肤生理循环,清除毒素等特性,对于各种皮肤过敏均有显着疗效。皮肤雾化是由药物液化成汽体,直接均匀喷涂于皮肤表面,让皮肤充分吸收,使药效得到更好地发挥,中药石膏倒膜加雾化治疗主要用于治疗急性皮肤过敏、湿疹或感染性皮肤病,特别适用于面部、黏膜等处。

3、纳米微波加雾化治疗:纳米微波通过能量辐射中,可通过炎症反映区的能量吸收,对人体神经、体液、内分泌的进行双向调节,达到活化组织细胞,激活酶系统及水分子,修正细胞的新陈代谢等作用,可有效调节机体免疫力恢复,恢复自然生理机能,从根源上避免反复发作。

》》》结合自己的症状与在线专家进行沟通交流获得详细的治疗建议《《《

“中医渗透抗癣疗法”的技术优势

1、个性治疗,多效并举:汕头龙湖肤康皮肤科门诊部皮肤病诊疗中心专家针对患者不同过敏源,采用个性化治疗方案,内服抗敏固表、清热解毒、祛风除湿、疏肝理气、活血化瘀中药,辅之纳米微波加雾化、中药石膏倒膜加雾化治疗,内外结合,标本兼治,清除体内湿、热、火、炎、毒,阻断病源,疗效显着,作用持久;

2、抗炎修复,光洁皮肤:“中医渗透抗癣疗法”将中药物理作用于病灶,可彻底改变过敏体质,有效调节机体免疫力恢复,恢复自然生理机能,达到体内阴阳协调、温经活血,恢复内分泌平衡,并深层清洁,抗炎修复,达到嫩肤和美容效果。

3、安全无害,防止复发:“中医渗透抗癣疗法”通过药物和仪器,避免长时间口服西药激素及外用膏剂所导致的毒副作用,对皮肤没有任何刺激,治疗过程轻松,无任何痛苦,立竿见影的疗效,保持机体自然生理机能动态平衡,恢复皮肤自我养护功能,彻底解决复发难题。

》》》汕头龙湖肤康皮肤科门诊部皮肤病诊疗中心网上预约入口《《《

温馨提示:得了皮肤过敏不要擅自去药店买药使用,建议先去到专业的医院经医生诊断后,根据诊断结果有针对性的用药。另外平时多注意休息及饮食,避免接触过敏源。如果您关于皮肤过敏的什么疑问,可以在线咨询专家。

 

汕头龙湖肤康皮肤科门诊部是汕头市市一家以岭南流派中西医结合的皮肤病专科医院…[详细]

便民服务

汕头龙湖肤康医师

  • 擅长:常秀格 皮肤科医师 医疗团队突出

  • 擅长:张秀萍 皮肤科医师 医疗团队突出

  • 擅长:刑留才 皮肤科主任 皮肤科带头人

  • 擅长:皮肤科主任 医疗团队突出成员 个

  • 擅长:【职称】 中国医师协会会员 肤康

  • 擅长:【职称】 中华医学会皮肤性病学